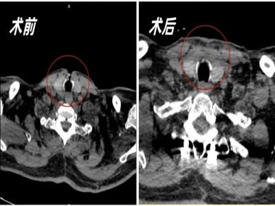
近日,浙江大学康复医院收治了一位特别的病患,一位在四年前遭遇车祸,不幸脊髓损伤导致下肢截瘫的60余岁老人。四年前,他因病情需要进行了气管切开手术,随着临床治疗病情逐渐好转,但因长期气管切开套管保持呼吸道通畅,形成了气管造口瘘,这使得他四年间都无法与人正常交流。

入院后,在浙江大学康复医院医疗副院长兼重症医学科主任张庚的组织下,召开了多学科团队(MDT)讨论会,并制定了相应的手术方案。准备就绪后,由大外科主任金心为患者实施了“气管造口闭合+阔筋膜切除+气道修补术”。术后进行一系列的康复治疗成功拔管,目前患者的各项指标均处于正常范围。

气管造口术,又称为气管切开术,是一种经皮切开颈段气管,放入气管切开套管以建立人工气道的创伤性操作,其目的主要是维持气道通畅、连接呼吸机和进行气道内操作等。
气管切开是危重患者救治过程中常用的措施,但术后患者如得不到规范管理,易导致相关并发症,气管造口瘘便是其中一种。
浙江大学康复医院已处理过数例气管造口瘘患者,虽然瘘口看着可怕,但不需要过度惊慌,今天就给大家科普一下气管造口瘘的相关内容。
01 气管造口瘘的症状
当气管造瘘不愈合时,患者可能出现以下症状:
1、伤口红肿、疼痛:感染或组织坏死引起的炎症反应。
2、分泌物增多:伤口处可能有脓液或痰液渗出。
3、呼吸困难:由于伤口未愈合,可能影响气道通畅。
02 气管切开术后气管瘘的原因
1、营养不良:营养不良会影响创口愈合的速度和质量,如果患者身体处于营养不良状态,可能会延迟切口的愈合,建议平时要注意饮食,加强营养的摄入。
2、不注重护理:术后切口处需要定期进行清创和更换胶布,如果护理不当,可能导致切口周围皮肤发红、肿胀、脓液渗出等情况,影响愈合。建议要保持切口卫生,以免感染。
3、置管时间过长:置管时间过长,易致切口处出现缺血、糜烂、坏死的现象,就会出现拔管后不愈合的现象,建议要遵照医嘱及时拔管。
03 气管瘘修补及康复
针对气管造瘘不愈合,手术治疗是常用的方法。具体手术方法包括:
1、伤口清理与缝合:首先清理伤口周围的感染组织和坏死组织,然后对伤口进行缝合,以促进愈合。
2、瘘口修补术:如果瘘口较大或伤口难以直接缝合,医生可能会采用瘘口修补术。这种手术方法可以使用组织修复材料或患者自身的组织来填补瘘口,从而加速愈合过程。
术后需要转入ICU进行监护治疗,通过自主呼吸训练、气道廓清训练等一系列气道功能恢复训练进行康复。

浙江大学康复医院 ↚点击了解
浙江大学康复医院(浙一康复中心)主任张庚↚点击了解