原发性脑干出血是脑出血的一种特殊类型,约占10%左右,属于神经系统危急重症。早期高压氧治疗能显著提高脑出血患者的意识恢复率,促进神经系统功能恢复,其临床疗效肯定。

6月初,58岁的汪先生突发头晕,全身冒汗,他刚意识到自己可能“中风”了,随即昏迷,整个人倒在了地上。
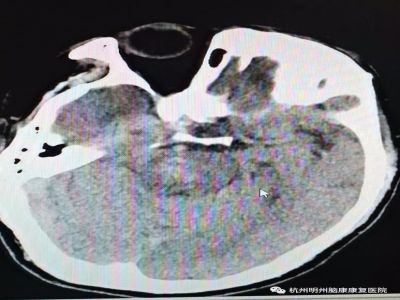
家属立即送其至当地医院,头部和胸部CT提示:脑干出血,左肺肺大疱。随后转入重症监护室接受治疗,期间接受气管切开术。自发病以来,汪先生一直处于昏迷状态。汪先生的家人多方咨询,得到的结论是汪先生成为“植物人”的概率高达80%。
虽然希望渺茫,但是汪先生的家人依旧没有放弃。汪先生的家人还是决定到擅长昏迷诊断和促醒治疗,以及脑损伤重症监护后早期治疗和康复的专业的康复机构接受治疗,多一丝希望都不愿意放弃。
入院评估:脑干出血
即昏迷后第13天,汪先生转入康复医院寻求康复治疗。入院时,汪先生意识不清,瞳孔直接、间接对光反射消失,四肢肌肉萎缩;鼻饲饮食;GCS评分7分(E4V1M2)。
根据血肿大小、患者意识障碍程度(Ⅰ~Ⅴ级)或格拉斯哥昏迷评分( GCS) 评分,脑干出血可分为4 型:
①轻型:出血量小于2 mL,意识障碍程度Ⅰ级(清醒或嗜睡) ,GCS>12 分;
②中型: 出血量2~5 mL,意识障碍程度Ⅱ~Ⅲ级,GCS9~12 分;
③重型: 出血量5.1~10 mL,意识障碍程度Ⅲ级或以上,GCS<9 分,伴明显的肢体瘫痪及脑神经损害;
④极重型:出血量大于10 mL,患者意识障碍程度Ⅴ级以上,呈深度昏迷,呼吸浅慢,血压不升,GCS<5 分。

汪先生属于脑干出血偏重型患者,气管切开术后,还患有高血压病、肺部感染、颈动脉斑块、左肺大疱。同时,入院时,汪先生的脑水肿也较为严重。主治医生介绍,脑干水肿或出血破入脑室可引起中脑水管狭窄或阻塞,脑脊液循环不畅形成脑积水,使颅内压进行性升高而加重脑损害。
汪先生的病情刻不容缓。为其制定了完善的治疗方案:高压氧治疗改善意识不清、缓解脑水肿;给予神经保护药物以及改善脑组织代谢的药物治疗,定期CT检查监测颅内情况;早期床边肢体功能锻炼,改善肌力,防止压疮;同时,改善营养,改善肝肾功能、心肺功能;适时加入针灸治疗、康复训练改善肢体平衡协调能力,以及言语功能、吞咽功能。
脑干出血更容易造成脑干变形、脑功能损害、脑干反射消失,病情更严重,损害性更大。
脑干出血的损害主要包括三个方面:
①血管破裂后,血流冲击以及血肿本身对脑干实质造成的撕裂、挤压,导致脑干发生扭曲或移位等原发性损伤;
②血肿急性膨胀引起局部血流量明显下降,周围组织的低灌注状态导致缺血缺氧性水肿形成,并逐渐加重;
③血肿分解产物以及脑组织损伤后释放的血管活性物质引起的继发性损害。
高压氧治疗脑干出血的机制包括:提高血氧分压,增加氧弥散半径,改善微循环,减少炎性介质的产生,减轻脑水肿,上调脑内NGF、BDNF等神经保护因子的表达等。在神经元及神经胶质细胞受损的早期,高压氧对脑神经的保护作用尤为明显。

在高压氧治疗过程中,瞳孔直接、间接光反应是最先出现的改善症状,且对光反应逐渐敏锐。紧接着,汪先生的意识状态也开始改善,一个疗程的高压氧治疗还未做完,他意识清楚,能理解正常问话,并可摇头点头回应,查体可以部分配合,GCS评分提高到11分(E4V1M6)。
在改善意识的过程中,康复训练也在同步进行,汪先生的肌力逐步提高,右侧肢体肌力恢复到4级,左侧肢体肌力提升到3级;肢体平衡协调能力逐渐改善,右手能够写字,字迹由模糊到逐渐清楚。
随着肢体功能的恢复,汪先生的言语、吞咽功能也在逐步改善。起初,对话有口型,堵住气管口有发声,逐渐到声音可辨析,内容正确,随后顺利拔管。通过逐步增加吞咽功能训练,吞咽呛咳情况逐渐好转,如今汪先生已经可以自行饮食。
经过一个对月的康复治疗,汪先生对自己的恢复程度感到振奋,汪先生的家人也对他的康复治疗效果感到非常满意,准备于近日出院。一个多月前,抱着最后一丝希望求医,如今汪先生几乎创造了康复的奇迹。
点击文末链接,了解更多明州医院详细情况。